450 Sutter St #1130
San Francisco, CA 94108

415-318-1818

Common Problems With Wisdom Teeth in San Francisco

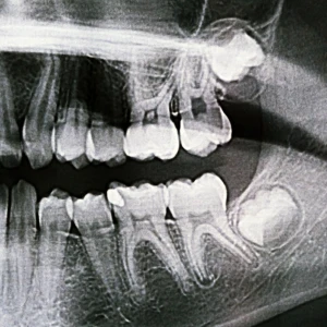
Wisdom teeth in San Francisco X-ray showing impacted upper and lower wisdom teeth

Wisdom teeth are the final set of molars that typically appear during the late teenage years or early twenties. While some individuals experience no issues when these teeth develop, many people encounter complications due to limited space in the mouth. When wisdom teeth grow improperly or fail to erupt fully, they can create several oral health problems that may require professional dental care. Understanding these common concerns can help patients recognize early symptoms and seek timely treatment.

In our previous blog, we discussed the healing stages patients typically experience after wisdom tooth removal, helping readers understand how recovery progresses and what signs indicate proper healing. In this article, we shift the focus to another important aspect of oral health by exploring the common issues that can occur when wisdom teeth develop or erupt improperly, and why early evaluation can help prevent more serious dental complications.

Why Wisdom Teeth Often Cause Problems

Most adults already have a full set of teeth by the time wisdom teeth begin to emerge. Because of this, there may not be enough space in the jaw to accommodate the additional molars. When there is insufficient room, wisdom teeth may grow at an angle, remain trapped beneath the gums, or only partially emerge. These situations can lead to discomfort, infections, and other complications that affect both oral health and daily comfort.

Regular dental examinations help monitor the development of wisdom teeth and allow dental professionals to identify potential issues before they become more serious.

  1. Impacted Wisdom Teeth

    A frequent issue linked to wisdom teeth is impaction. An impacted wisdom tooth occurs when the tooth cannot fully break through the gum line due to obstruction from bone or nearby teeth. Impacted teeth may remain completely hidden beneath the gums or partially emerge, often causing swelling, jaw stiffness, and discomfort.

    Impacted wisdom teeth can also place pressure on surrounding teeth. Over time, this pressure may affect alignment and lead to crowding, especially in patients who previously underwent orthodontic treatment.

  2. Tooth Decay and Cavities

    Because wisdom teeth are positioned at the very back of the mouth, brushing and flossing them effectively can be challenging. Plaque and bacteria can accumulate in these hard-to-reach areas, increasing the risk of tooth decay. In some cases, cavities may develop not only in the wisdom teeth themselves but also in the neighboring molars.

    If untreated, decay may spread and damage surrounding teeth, potentially requiring restorative treatments. In severe situations where a tooth cannot be saved, replacement options such as dental implants in San Francisco may be recommended to restore function and maintain oral health.

  3. Gum Infection and Inflammation

    When wisdom teeth only partially erupt, they can create small openings in the gum tissue where bacteria and food particles easily become trapped. This can lead to inflammation and infection around the affected tooth. Patients may experience symptoms such as redness, swelling, tenderness, and difficulty chewing comfortably.

    Maintaining good oral hygiene is important, but these areas are often difficult to clean thoroughly because wisdom teeth are located at the back of the mouth. Professional dental care may be needed to manage the infection and prevent further complications.

  4. Jaw Pain and Pressure

    Wisdom teeth that grow sideways or push against nearby teeth can cause noticeable jaw pain and discomfort. Some patients also experience headaches, stiffness in the jaw, or difficulty opening their mouth fully. This pressure can affect everyday activities such as chewing or speaking.

    Early evaluation helps identify the cause of these symptoms and determine the most appropriate treatment approach. A qualified San Francisco oral surgeon can assess the position of wisdom teeth using advanced imaging and recommend solutions that protect surrounding teeth and tissues.

Conclusion

If you are experiencing jaw pain, swelling, or discomfort near the back of your mouth, it may be related to wisdom teeth development. A professional dental evaluation can help determine whether monitoring or treatment is the best option for your situation. To learn more about managing wisdom teeth in San Francisco or to schedule a consultation, contact a trusted dental professional today at 415-318-1818 . Early care can make a significant difference in protecting your smile and preventing future dental problems.

Book a consultation today

Make an Appointment

Our Address

San Francisco Oral Surgery and Implantology

450 Sutter St #1130
San Francisco, CA 94108

415-318-1818

415–989–1131

Office Hours

Monday 8:00 AM5:00 PM
Tuesday 8:00 AM5:00 PM
Wednesday 8:00 AM5:00 PM
Thursday 8:00 AM5:00 PM
Friday 8:00 AM5:00 PM
Saturday Closed
Sunday Closed

Contact Us

(Maximum characters: 250) You have characters left.

Top